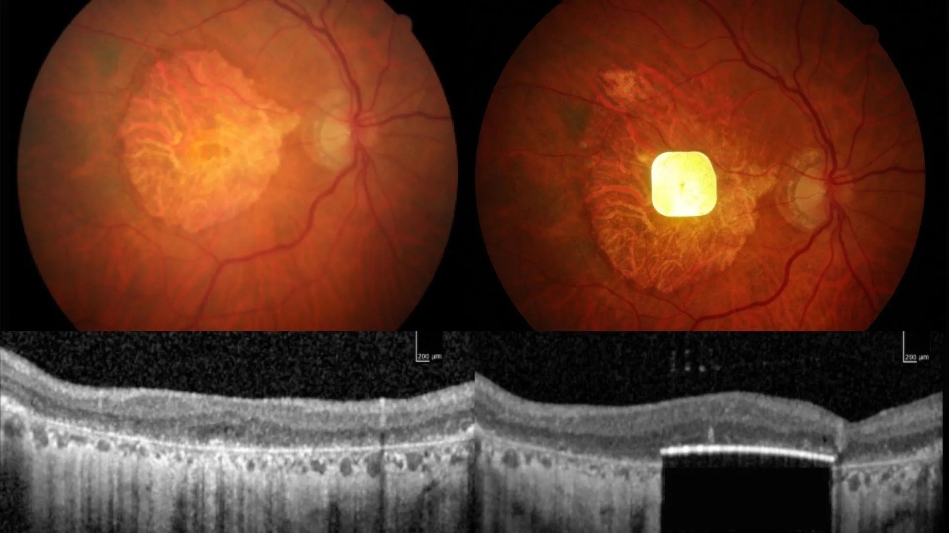
Mai multe zeci de pacienţi care îşi pierduseră vederea centrală din cauza degenerescenţei maculare legate de vârstă (AMD) au reuşit să-şi recapete parţial capacitatea de a vedea datorită unui implant ocular inovator combinat cu o pereche de ochelari inteligenţi. Studiul, publicat luni în revista The New England Journal of Medicine, arată că pacienţii au putut din nou să citească cărţi obişnuite şi chiar să completeze cuvinte încrucişate. Participanţii aveau peste 60 de ani şi fuseseră diagnosticaţi cu AMD la ambii ochi, prezentând o acuitate vizuală sever afectată.
Degenerescenţa maculară nu poate fi vindecată, deoarece celulele din centrul retinei se degradează ireversibil. Cercetătorii au încercat însă să restaureze parţial funcţia vizuală folosind un implant minuscul de doar 2 pe 2 milimetri, alcătuit din micro-panouri solare. Dispozitivul este implantat chirurgical sub retină, iar pacienţii poartă ochelari inteligenţi dotaţi cu camere care captează imagini mărite şi le transmit implantului prin lumină infraroşie. Acesta transformă semnalul luminos în impulsuri electrice către nervul optic, imitând activitatea celulelor retiniene naturale.
În total, 38 de pacienţi au primit implantul, iar 32 au rămas în studiu timp de un an. După 12 luni, 26 dintre ei – adică 80% – prezentau o îmbunătăţire semnificativă a vederii comparativ cu momentul implantării. Deşi vederea obţinută este alb-negru şi neclară, rezultatele sunt considerate remarcabile de specialişti independenţi, potrivit The New York Times.
Tehnologia aparţine companiei Science Corporation, fondată de Max Hodak, cofondator al Neuralink alături de Elon Musk. Firma americană a achiziţionat în 2024 această tehnologie de la compania franceză Pixium Vision, care rămăsese fără fonduri după un deceniu de cercetări. Povestea aminteşte de cea a Second Sight Medical, un alt proiect de proteză vizuală abandonat, dar reluat ulterior de o altă companie de biotehnologie.
Noile progrese oferă speranţă pacienţilor afectaţi de una dintre cele mai răspândite forme de orbire legată de vârstă, demonstrând că fuziunea dintre neuroştiinţă şi tehnologia digitală poate reda, cel puţin parţial, vederea pierdută.
